بیماری های مضر برای دندان و سلامت دهان
حفظ سلامت دهان و دندان نه تنها برای لبخند زیبا بلکه برای رفاه کلی نیز ضروری است. دندان ها در معرض بیماری های مختلفی هستند که می توانند منجر به ناراحتی قابل توجهی ، اختلال عملکردی و حتی مشکلات سلامتی سیستمیک شوند. این مقاله به بررسی چندین بیماری که به ویژه برای دندان ها مضر هستند می پردازد و علل ، علائم و اقدامات پیشگیرانه آنها را برجسته می کند.
1 پوسیدگی دندان (پوسیدگی دندان)

پوسیدگی دندان ، که معمولا به عنوان پوسیدگی دندان یا حفره شناخته می شود ، یکی از شایع ترین بیماری های دهان در سراسر جهان است. این اتفاق زمانی رخ می دهد که باکتری های دهان اسیدهایی تولید می کنند که مینای دندان را فرسوده می کنند.
بهداشت دهان و دندان ضعیف ، رژیم های غذایی با قند بالا و کمبود فلوراید به طور قابل توجهی به توسعه پوسیدگی دندان کمک می کند. باکتری هایی مانند استرپتوکوک موتان ها با قند رشد می کنند و اسیدهایی تولید می کنند که به مینای دندان حمله می کنند.
علائم پوسیدگی : مراحل اولیه ممکن است بدون علامت باشد ، اما با پیشرفت پوسیدگی ، علائم می توانند شامل حساسیت به دما ، درد و سوراخ های قابل مشاهده یا لکه های تیره روی دندان ها باشند.
پیشگیری : مسواک زدن و نخ دندان کشیدن منظم ، معاینات معمول دندانپزشکی ، محدود کردن غذاهای شیرین و نوشیدنی ها و استفاده از خمیر دندان فلوراید می تواند به جلوگیری از پوسیدگی دندان کمک کند.
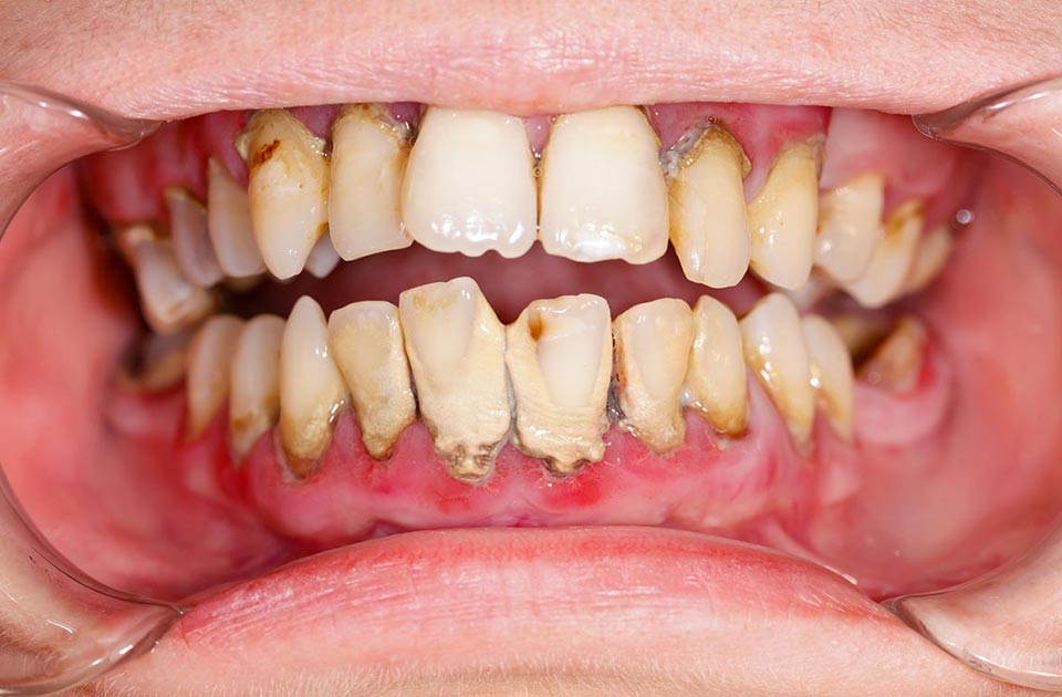
2 بیماری پریودنتال (بیماری لثه)
بیماری پریودنتال شامل طیف وسیعی از شرایط التهابی است که بر بافت های اطراف دندان ها تأثیر می گذارد. با التهاب لثه شروع می شود که می تواند به اشکال شدیدتر مانند پریودنتیت پیشرفت کند.
مصرف دخانیات ، مصرف مشروبات الکلی ، تغییرات هورمونی (مانند دوران بارداری) و برخی شرایط پزشکی می تواند خطر بیماری پریودنتال را افزایش دهد. باکتری های موجود در پلاک منجر به التهاب و عفونت در لثه می شوند.
علائم بیماری پریودنتال : علائم اولیه شامل تورم ، خونریزی لثه ، بوی بد دهان و رکود لثه است. پریودنتیت پیشرفته می تواند منجر به تحرک یا از دست دادن دندان شود.
پیشگیری : حفظ بهداشت دهان و دندان خوب ، مراجعه منظم به دندانپزشکی و اجتناب از دخانیات می تواند به طور قابل توجهی خطر ابتلا به بیماری پریودنتال را کاهش دهد.
3 کاندیدیازیس خوراکی (برفک)
کاندیدیازیس خوراکی یا برفک یک عفونت قارچی است که به دلیل رشد بیش از حد گونه های کاندیدا ، به ویژه کاندیدا آلبیکانز ، در دهان ایجاد می شود.
عواملی مانند ضعف سیستم ایمنی بدن ، استفاده از آنتی بیوتیک و خشکی دهان می توانند به رشد بیش از حد کاندیدا کمک کنند و منجر به برفک شوند.
علائم برفک دهان : علائم شامل لکه های سفید روی زبان و داخل گونه ها ، قرمزی ، درد و مشکل بلع است.
پیشگیری : بهداشت دهان و دندان خوب ، مدیریت خشکی دهان و محدود کردن غذاهای شیرین می تواند به جلوگیری از برفک کمک کند. افراد با سیستم ایمنی ضعیف باید به ویژه هوشیار باشند.
4 دیابت
در حالی که دیابت خود یک بیماری دهانی نیست ، اما پیامدهای قابل توجهی برای سلامت دهان دارد. افراد مبتلا به دیابت ضعیف کنترل شده در معرض خطر ابتلا به مشکلات مختلف دندان هستند.
سطح بالای قند خون می تواند منجر به خشکی دهان ، افزایش تشکیل پلاک و کاهش جریان خون به لثه شود و آنها را بیشتر در معرض عفونت قرار دهد.
علائم : علائم مربوط به سلامت دندان ممکن است شامل بیماری لثه ، پوسیدگی دندان و تاخیر در بهبود زخم های دهان باشد.
پیشگیری : مدیریت دیابت از طریق رژیم غذایی ، ورزش و دارو می تواند به کاهش خطر مشکلات دندان کمک کند. معاینات منظم دندانپزشکی نیز ضروری است.
5 پوکی استخوان
پوکی استخوان یک بیماری است که با تضعیف استخوان ها مشخص می شود ، که همچنین می تواند بر استخوان فک و ساختارهای حمایتی دندان ها تأثیر بگذارد.
سن ، تغییرات هورمونی (به ویژه در زنان یائسه) و برخی داروها می توانند به ایجاد پوکی استخوان کمک کنند.
علائم : در حالی که پوکی استخوان ممکن است در ابتدا علائم آشکار نداشته باشد ، می تواند منجر به از دست دادن دندان و افزایش خطر شکستگی در استخوان فک شود.
پیشگیری : حفظ رژیم غذایی سرشار از کلسیم و ویتامین D ، درگیر شدن در تمرینات تحمل وزن و اجتناب از سیگار کشیدن می تواند به ارتقاء سلامت استخوان و کاهش خطر پوکی استخوان کمک کند.
6 سندرم شوگرن
سندرم Sjögren یک اختلال خود ایمنی است که با خشکی دهان و خشکی چشم به دلیل تخریب غدد بزاقی و اشکی مشخص می شود.
علت دقیق ناشناخته است ، اما با سایر بیماری های خود ایمنی مانند آرتریت روماتوئید و لوپوس همراه است.
علائم : به غیر از خشکی دهان ، علائم می تواند شامل مشکل در بلع ، افزایش حفره ها و عفونت های دهان باشد.
پیشگیری : هیدراته ماندن ، استفاده از جایگزین های بزاق و حفظ بهداشت دهان و دندان برای مدیریت خشکی دهان مرتبط با سندرم Sjögren بسیار مهم است.
راه های پیشگیری از خرابی دندان ها

راه های مختلفی برای پیشگیری از خرابی دندان ها وجود دارد که در این بخش چند تا از این راه ها را به شما معرفی کرده ایم :
1 رعایت بهداشت دهان و دندان :
شما با رعایت کردن بهداشت دهان و دندان از خرابی و پوسیدگی دندان های خود می توانید جلوگیری کنید و دندان هایی سالم و تمیزی داشته باشید .
2 استفاده مداوم از نخ دندان :
نخ دندان را فراموش نکنید می توانید به صورت روزانه با استفاده از نخ دندان و رعایبت بهداشت دهان و دندان باعث پیشگیری از خرابی دندان ها شوید دندان ها نیازدارند که ما بین آن ها به خوبی تمیز شود و تکه های غذا در بین آن ها نماند نخ دندان می تواند این کار را برای شما به خوبی انجام دهد .
3 استفاده از فلوراید :
محصولات دارای فلوراید می تواند بر تقویت اندام خارجی دندان ها و جلوگیری از پوسیدگی دندان ها به شما کمک کند . می توانید از خمیر دندان های حاوی فلوراید استفاده کنید .
4 استفاده از دهانشویه ها :
دهانشوبه ها می توانند در بهداشت دهان و دندان شما تاثیر مثبتی داشته باشند . برای مثال دهانشویه ها می توانند با استفاده از ضدعفونی کننده های خاصی که دارند تمام باکتری های بد و مخرب داخل دهان شما را بکشند و به دهان شما بو خوب و شادابی دوباره بدهند . معمولا برای تهیه دهانشویه ها می توانید از داروخانه ها این محصول را تهیه کنید .
5 مراجعات منظم به دندانپزشک خود :
یکی دیگر از راه های پیشگیری از خرابی دندان ها مراجعات منظم به دندانپزشکی ها می باشد با مراجعه به دندانپزشک می تواند از وضعیت دهان و دندان ها خود با خبر شوید تا پیشگیری های لازم را در جهت درمان خرابی دندان های خود داشته باشید .
6 کنترل استرس و اضطراب :
استرس و اضطراب برای بدن مضر می باشد مخصوصا برای دندان ها شما زمانی که دچار استرس و اضطراب می شوید استرس می تواند باعث فرسایش و. سایش دندان های شما شود و به مرور زمان مینای دندان خود را از دست بدهید .
باید با آرامش به استرس و اضطراب خود پایان دهید .
7 مصرف دخانیات و الکل را ممنوع کنید:
بسیاری از افراد که از دخانیات مصرف می کنند دچار آسیب های جدی درباره دندان های خود هستند که متاسفانه اگر دیر اقدام به درمان کنند دندان های خود را از دست خواهند داد .
همینطور افرادی که الکل مصرف می کنند هم در کمین این مشکلات هستند به طور کلی مصرف مشروبات الکلی می تواند برای بدن بسیار مخرب باشد و باعث خرابی دندان ها شود .
نتیجه گیری
بیماری های مختلف می توانند بر سلامت دندان تأثیر منفی بگذارند و منجر به ناراحتی و عوارض قابل توجهی شوند. آگاهی از این شرایط برای پیشگیری و مداخله زودهنگام حیاتی است. حفظ بهداشت دهان و دندان خوب ، معاینات منظم دندانپزشکی و یک سبک زندگی سالم ، اجزای ضروری در محافظت از دندان های شما در برابر بیماری است. اگر علائم مربوط به سلامت دهان و دندان را تجربه کردید ، مشورت با یک متخصص دندانپزشکی برای تشخیص و درمان مناسب بسیار مهم است.
کلینیک دندانپزشکی شبانه روزی آرتین ارائه دهنده بهترین خدمات دندانپزشکی در کرج می باشد که به صورت 24 ساعته و شبانه روزی فعالیت خود را ادامه می دهد برای دریافت نوبت می توانید از طریق شماره تلفن های زیر نوبت خود را ثبت کنید.
02632211496
02632211497
مقاله های بیشتر
علت درد ضربان دار دندان چیست ؟

0 نظر