فلیپر دندان چیست ؟ چه کاربردی دارد ؟
فلیپر دندان (Dental Flipper) به عنوان یک پروتز دندانی موقت، نقش بسیار مهمی در بهبود کیفیت زندگی افرادی که دندانهای خود را از دست دادهاند، ایفا میکند. این ابزار به طور خاص برای پر کردن فضاهای خالی ناشی از دندانهای کشیده شده طراحی شده است و به بیماران کمک میکند تا به راحتی به فعالیتهای روزمره خود ادامه دهند.
در این مقاله، به بررسی دقیق تر ساختار، کاربردها و مزایای فلیپر دندان خواهیم پرداخت و همچنین نکات مهمی را در مورد نگهداری و استفاده از آن مطرح خواهیم کرد تا انتهای این مطالب همراه دندانپزشکی آرتین باشید .
منظور از فلیپر دندان چیست ؟

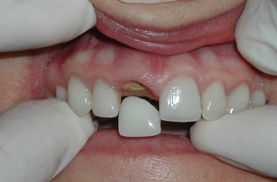
فلیپر دندان یک پروتز دندانی موقت است که به منظور جایگزینی دندانهای از دست رفته طراحی شده است. این ابزار معمولاً از مواد سبک و قابل انعطاف ساخته میشود و به راحتی در دهان قرار میگیرد. فلیپرها به عنوان یک راه حل موقت برای افرادی که به دلایل مختلفی مانند آسیب، پوسیدگی یا بیماری دندان های خود را از دست دادهاند، استفاده می شوند.
ساختار فلیپر دندان
فلیپر دندان معمولاً شامل اجزای زیر است:
- پایه: پایه فلیپر معمولاً از مواد اکریلیک ساخته میشود که با رنگ لثه هماهنگ است. این پایه به گونهای طراحی شده است که با فرم دهان فرد سازگار باشد و احساس راحتی را به ارمغان آورد.
- دندانهای مصنوعی: دندانهای مصنوعی معمولاً از مواد کامپوزیتی یا سرامیکی ساخته میشوند و به پایه فلیپر متصل میشوند. این دندانها به طور طبیعی شبیه به دندانهای واقعی هستند و با دقت طراحی شدهاند تا زیبایی و عملکرد را بهبود بخشند.
- نگهدارندهها: برخی از فلیپرها دارای نگهدارندههایی هستند که به حفظ پروتز در جای خود کمک می کنند. این نگهدارندهها می توانند شامل کلیپس یا گیرههای فلزی باشند که به ثبات فلیپر در دهان کمک میکنند.
کاربردهای فلیپر دندان
فلیپر دندان به دلایل مختلفی مورد استفاده قرار میگیرد:
جایگزینی موقت دندانهای از دست رفته
فلیپرها به عنوان یک راه حل موقت برای افرادی که دندانهای خود را به دلایل مختلف از دست دادهاند، استفاده می شوند. این ابزار به فرد کمک می کند تا بدون دندانهای از دست رفته به زندگی روزمره خود ادامه دهد و از نظر اجتماعی و روانی احساس بهتری داشته باشد.
حفظ ساختار صورت
از دست دادن دندانها می تواند به تغییر شکل صورت و ایجاد ظاهری ناخواسته منجر شود. فلیپرها با پر کردن فضاهای خالی در دهان، به حفظ ساختار صورت و جلوگیری از افتادگی پوست کمک می کنند. این امر به بهبود اعتماد به نفس فرد و حفظ زیبایی ظاهری او کمک می کند.
تسهیل در جویدن و صحبت کردن
فلیپرها به افراد کمک میکنند تا به راحتی غذا را بجوند و صحبت کنند. این ابزار میتواند به بهبود کیفیت زندگی روزمره افراد کمک کند و احساس راحتی بیشتری را فراهم آورد. به ویژه برای کسانی که از دندانهای خود به دلیل مشکلات پزشکی یا سوانح از دست دادهاند، فلیپرها میتوانند یک راه حل مؤثر باشند.
مزایای استفاده از فلیپر دندان چیست ؟

استفاده از فلیپر دندان دارای مزایای متعددی است:
- هزینه مقرون به صرفه: فلیپرها معمولاً نسبت به پروتزهای دائمی هزینه کمتری دارند و میتوانند به عنوان یک گزینه اقتصادی برای افرادی که به دنبال جایگزینی دندانهای خود هستند، مورد استفاده قرار گیرند.
- سازگاری آسان: فلیپرها به راحتی در دهان قرار می گیرند و معمولاً نیاز به جراحی یا تغییرات بزرگ در دهان ندارند. این ویژگی موجب میشود که استفاده از آنها برای بیماران بسیار راحت باشد.
- قابلیت تعمیر و تعویض: در صورت آسیب یا تغییر نیازها، فلیپرها به راحتی قابل تعمیر یا تعویض هستند. این انعطافپذیری به بیماران این امکان را میدهد که در صورت نیاز، به راحتی به گزینههای جدید تغییر دهند.
- زمان سریع ساخت: فلیپرها معمولاً در زمان کوتاهی ساخته میشوند و میتوانند به سرعت به فرد ارائه شوند، این ویژگی به ویژه برای افرادی که به دنبال راه حلی فوری هستند، بسیار اهمیت دارد.
نکات مهم در استفاده از فلیپر دندان
رعایت بهداشت دهان
برای حفظ بهداشت دهان و جلوگیری از عفونت، افرادی که از فلیپر استفاده میکنند باید به طور منظم آن را تمیز کنند و از بهداشت دهان خود مراقبت کنند. شستشوی منظم فلیپر و استفاده از مسواک و دهانشویه میتواند به سلامت دهان کمک کند.
مشاوره با دندانپزشک
قبل از استفاده از فلیپر، مشاوره با دندانپزشک ضروری است. دندانپزشک میتواند بهترین نوع فلیپر را بر اساس نیازهای فردی تعیین کند و راهنماییهای لازم را ارائه دهد. این مشاوره میتواند به انتخاب مناسبترین گزینه برای هر بیمار کمک کند.
تنظیم و تطابق
در برخی موارد، ممکن است نیاز به تنظیم فلیپر باشد تا به طور کامل در دهان فرد جا بیفتد. این تنظیمات معمولاً توسط دندانپزشک انجام میشود و میتواند شامل تغییرات جزئی در اندازه یا شکل فلیپر باشد.
معایب و چالشهای فلیپر دندان

با وجود مزایای زیاد، فلیپر دندان نیز دارای معایب و چالشهایی است که باید در نظر گرفته شوند:
- عدم ثبات کامل: فلیپرها ممکن است به اندازه پروتزهای دائمی ثابت نباشند و در برخی موارد ممکن است در حین جویدن یا صحبت کردن جابجا شوند.
- احساس غیرطبیعی: برخی از بیماران ممکن است احساس کنند که فلیپر در دهانشان وجود دارد و این میتواند ناراحتکننده باشد. این احساس معمولاً با زمان کاهش مییابد، اما برخی افراد ممکن است نتوانند به آن عادت کنند.
- محدودیت در عملکرد: فلیپرها معمولاً برای دندانهای جلو طراحی شدهاند و ممکن است در صورت نیاز به جایگزینی دندانهای عقب، عملکرد مناسبی نداشته باشند.
- نیاز به مراقبتهای ویژه: فلیپرها نیازمند مراقبتهای خاصی هستند و بیماران باید به طور منظم آنها را تمیز کنند و از آنها به درستی مراقبت نمایند.
راهنماییهای اضافی برای نگهداری از فلیپر دندان
تمیز کردن روزانه
برای حفظ سلامت دهان و دندان، تمیز کردن روزانه فلیپر امری ضروری است. استفاده از مسواک نرم و مواد شوینده غیرخوراکی میتواند به تمیز کردن فلیپر کمک کند. همچنین، استفاده از محلول های ضدعفونی کننده مناسب برای فلیپر می تواند به جلوگیری از عفونتها کمک کند.
عدم استفاده در شب
بسیاری از دندانپزشکان توصیه میکنند که فلیپر در طول شب از دهان خارج شود. این کار به دهان استراحت می دهد و همچنین از ایجاد عفونت و آسیب به لثهها جلوگیری می کند.
مراجعه منظم به دندانپزشک
مراجعه منظم به دندانپزشک برای بررسی وضعیت فلیپر و سلامت کلی دهان ضروری است. دندانپزشک میتواند در صورت نیاز، تنظیمات لازم را انجام دهد و از بروز مشکلات احتمالی جلوگیری کند.
آینده فلیپر دندان
با پیشرفت فناوریهای دندانپزشکی، فلیپرهای دندان نیز در حال بهبود و توسعه هستند. مواد جدید و تکنیکهای ساخت مدرن میتوانند به بهبود کیفیت و راحتی فلیپرها کمک کنند. به عنوان مثال، استفاده از مواد سبکتر و با دوام تر میتواند به کاهش وزن فلیپر و افزایش راحتی بیماران کمک کند. همچنین، طراحیهای جدید میتوانند به بهبود زیبایی و عملکرد فلیپرها منجر شوند.
نتیجه گیری
فلیپر دندان یک راه حل مؤثر و مقرون به صرفه برای جایگزینی دندانهای از دست رفته است. این ابزار به افراد کمک میکند تا به راحتی به زندگی روزمره خود ادامه دهند و از مزایای آن بهره مند شوند.
با این حال، برای استفاده بهینه از فلیپر، مشاوره با دندانپزشک و رعایت بهداشت دهان ضروری است. اگر شما یا کسی که میشناسید به دنبال راهحلی برای دندانهای از دست رفته هستید، فلیپر می تواند گزینه ای مناسب باشد که نه تنها به بهبود عملکرد دهان کمک میکند، بلکه اعتماد به نفس و زیبایی ظاهری فرد را نیز افزایش میدهد.
سخن پایانی
کلینیک دندانپزشکی آرتین با بهره گیری از بهترین جراحان و متخصصان آماده ارائه خدمات تخصصی و عمومی دندانپزشکی به شما همراهان عزیز در کرج می باشد .
شما همراهان عزیز دندانپزشکی آرتین می توانید به صورت شبانه روزی و 24 ساعته از این خدمات بهره مند شوید .
جهت دریافت مشاوره و ثبت نوبت می توانید از طریق شماره تلفن های زیر نوبت خود را ثبت کنید .
02632211497
02632211496
مقالات بیشتر
آیا ارتودنسی دندان عوارض دارد ؟

0 نظر