چه افرادی نباید از کامپوزیت دندان استفاده کنند ؟
همانطور که می دانید کامپوزیت دندان یک روش ترمیمی برای دندان ها می باشد که باید توسط یک دندانپزشک با تجربه روند ترمیم دندان شما بررسی شود و بعد از بررسی های لازم این دندانپزشک شماست که درباره دندان های شما با شما تصمیم میگیرد تا آیا می توانید از کامپوزیت برای ترمیم دندان خود استفاده کنید یا خیر .
در ادامه همراه ما باشید تا با هم به بررسی موضوع اینکه چه افرادی نباید از کامپوزیت دندان استفاده کنند بپردازیم و علت ها و دلایل مهم آن را با هم متوجه شویم .
قبل از هر چیزی باید بدانیم که کامپوزیت دندان چیست و چه کاربردی می تواند برای دندان های ما داشته باشد .
شاید برای شما مفید باشد : لیست قیمت کامپوزیت دندان در کرج 1403
کامپوزیت دندان چیست ؟

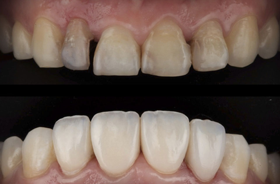
همانطور که قبلا هم به این موضوع اشاره کرده ایم کامپوزیت دندان می تواند کاربرد های گوناگونی را برای افراد داشته باشد کامپوزیت دندان یک روش درمانی و زیبایی برای دندان ها به شمار می رود که در جهت ترمیم دندان ها مانند شکستگی دندان ، ترک خوردگی دندان ،لب پر شدن دندان و .. می توان از آن برای ترمیم دندان و اصلاح لبخند خود استفاده کرد .
اما ممکن است کامپوزیت دندان برای همه مناسب نباشد و برخی از افراد نتوانند از آن استفاده کنند در ادامه درباره اینکه چه افرادی نباید از کامپوزیت دندان استفاده کنند توضیحاتی را داده ایم
چه افرادی نباید از کامپوزیت دندان استفاده کنند ؟
اغلب افراد می توانند از کامپوزیت دندان استفاده کنند و این یک نکته بسیار خوب و مثبت است که افراد می توانند از کامپوزیت دندان برای زیبایی لبخند خود و ترمیم دندان های خود استفاده کنند و دندان های درخشان و زیباتری نسبت به قبل داشته باشند .
چیزی که بسیاری از افراد باید بدانند این است که اگر دندان های پوسیده و لثه هایی مشکل دار داشته باشید متاسفانه شما نمی توانید از کامپوزیت دندان استفاده کنید زیرا باید اول به درمان این مشکلات بپردازید و بعد از حل شدن مشکلات لثه و دندان های پوسیده خود می توانید از کامپوزیت دندان استفاده کنید .
پس افرادی که نمی توانند از کامپوزیت دندان ها استفاده کنند افرادی هستند که مشکلات لثه ای دارند و یا دندان های پوسیده شده دارند که ابتدا باید به درمان این مشکلات بپردازند و بعد از حل کردن این مشکلات می توانند با مشورت یک دندانپزشک با تجربه از کامپوزیت دندان استفاده کنند .
افرادی که دچار دندان قروچه هم هستند و یا سایش شدید دندان دارند نباید از کامپوزیت دندان استفاده کنند
افرادی که به بهداشت دهان و دندان خود اهمیت نمی دهند هم نباید از کامپوزیت دندان استفاده کنند .
افرادی که ورزش های رزمی خطرناک انجام می دهند مانند بوکس و .. هم نمی توانند از کامپوزیت دندان استفاده کنند .
مراحل انجام کامپوزیت دندان برای افرادی که ممنوعیت استفاده از آن را ندارند چگونه است؟
مراحل انجام کامپوزیت دندان برای افرادی که می توانند این کار را انجام دهند به شرح زیر می باشد :
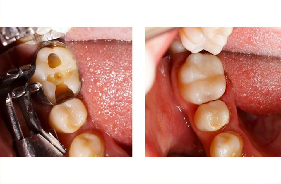
1 در مرجله اول باید دهان و دندان توسط دندانپزشک باتجربه بررسی شود و هرگونه ایراد و مشکل دهان و دندان باید برطرف شود که یکی از این مشکلات که رایج ترین آن ها می باشد لیفت لثه هست .
2 در مرحله دوم بعد از بررسی ها نوبت به آماده سازی ابتدایی می رسد که باید روی دندان بیمار انجام شود
3 در مرحله سوم هم فرد بیمار باید رنگ کامپوزیت دندان خود را با توجه به رنگ دندان های خود انتخاب کند تا هماهنگی کامپوزیت دندان با بقیه دندان ها یکسان باشد و مشکلی از نظر ظاهری نداشته باشد .
4 در مرحله بعدی نوبت به گذاشتن کامپوزیت دندان می رسد و در این مرحله دندان ها کاملا ایزوله شده و شسته می شود در انتهای این مرحله نیاز است که تمام دندان ها کامل خشک شود .
بعد از اینکه مواد کامپوزیت دندان کاملا تمام شد نوبت به پولیش کردن دندان ها می رسد که در این مرحله فرم دندان ها تکمیل می شود .
و در آخر هم نوبت به شستشوی دندان ها و لثه می رسد باید توجه داشت که برای داشتن لبخندی زیبا دندانپزشک شما باید دارای تجربه و مهارت های بالایی باشد تا بتواند نتیجه دلخواه شما را برای شما به ارمغان آورد .
ماندگاری کامپوزیت دندان چقدر می باشد ؟

یکی از سوالات بسیار مهم که امروزه بسیار پرسیده می شود همین سوال است که ماندگاری کامپوزیت دندان چقدر می باشد این ماندگاری بستگی به عوامل مختلفی دارد عواملی مانند بهداشت دهان و دندان ، جنس مرغوب کامپوزیت دندان ، نحوه مراقبت از آن ، نخوردن غذاها و مواد غذایی سفت و سخت و .. اما به طور کلی می توان بیان کرد که ماندگاری کامپوزیت دندان را می توان چیزی بین 5 تا 10 سال دانست البته ممکن است برخی از موارد باعث افزایش و یا کاهش طول عمر کامپوزیت دندان شود .
قیمت کامپوزیت دندان چقدر می باشد ؟

قیمت کامپوزیت دندان در کرج سال 1403 می تواند به طور میانگین به ازای هر واحد 1.500.000 الی 3.500.000 میلیون تومان باشد و قیمت هر فک کامپوزیت دندان باید مبلغ 10.000.000 الی 25.000.000 میلیون تومان پرداخت شود البته باید توجه داشت که این قیمت ها تقریبی می باشد و بسته به نوع کامپوزیت دندان و شرایط دهان و دندان شما این هزینه ها می تواند متغیر باشد .
مراقبت های بعد کامپوزیت دندان چه می باشد ؟

بسیاری از افراد بر این تفکرند که کامپوزیت دندان فقط نیاز به مراقبت های اولیه دارد اما این یک اشتباه رایج است شما باید از کامپوزیت دندان خود در بلند مدت هم مراقبت کنید .
مراقبت های بعد از کامپوزیت دندان بسیار حائز اهمیت هستند که در این بخش برخی از مهم ترین مراقبت های بعد از کامپوزیت دندان را به شما توصیه می کنیم :
به درستی از نخ دندان استفاده کنید : یکی از مراقبت های مهم بعد از کامپوزیت دندان طرز استفاده شما ازنخ دندان می باشد و البته استفاده منظم از مسواک هم بی تاثیر نیست شما باید بعد از خوردن هر وعده غذایی از نخ دندان و مسواک استفاده کنید و در صورت خوردن نوشیدنی هایی که حاوی رنگدانه هستند مانند قهوه یا آب میوه ها باید از مسواک و نخ دندان نیز بلافاصله بعد از خوردن استفاده کنید.
از دخانیات استفاده نکنید : افرادی که از دخانیات به صورت مداوم استفاده می کنند نه تنها دارند به سلامتی بدن خود آسیب می رسانند بلکه می توانند باعث نابودی دندان های خود شوند .
افرادی که دارای کامپوزیت دندان هستند به دلیل اینکه کامپوزیت دندان از رنگ طبیعی خود ممکن است خارج شود بهتر است که مصرف دخانیات را کمتر کنند و یا اصلا دخانیات مصرف نکنند تا سلامت بدن آن ها بهترباشد .
در کل مصرف دخانیات می تواند آسیب های زیادی را به دندان های شما برساند بهتر است که از دخانیات استفاده نشود .
از خوردن موادغذایی سفت و سخت خودداری کنید : خوردن غذاهای سفت و محکم یکی از عادات اشتباهی است که افراد می توانند داشته باشند شما با استفاده از خوردن غذاهای سفت به دندان ها و کامپوزیت دندان خود آسیب های جدی را وارد می کنید که ممکن است باعث شکسته شدن کامپوزیت دندان یا حتی دندان های شما شود .
سخن پایانی
کلینیک دندانپزشکی آرتین یکی از بهترین ارائه دهندگان خدمات دندانپزشکی در کرج می باشد که تجهیزات و امکانات گسترده ای را برای همشهریان عزیز در کرج آماده کرده اند .
دندانپزشکی آرتین با سابقه ای درخشان و تجهیزات کامل تمامی خدمات مربوط به دندانپزشکی را به مراجعه کنندگان عزیز ارائه می دهد .
جهت دریافت نوبت می توانید از طریق شماره تلفن های زیر نوبت خود را ثبت کنید .
02632211496
02632211467
مقالات بیشتر
علت سیاه شدن دندان کودکان چیست ؟
8 مورد از مراقبت های بعد از لمینت دندان که باید بدانید
آیا می توان رنگ کامپوزیت دندان را تغییر داد ؟

0 نظر