دندان قروچه در خواب چه علائمی دارد ؟
امروز در این مقاله به بررسی کامل و جامع دندان قروچه در خواب می پردازیم و علائم و راه های درمان دندان قروچه در خواب را با شما به اشتراک می گذاریم تا انتهای این مقاله جذاب همراه ما باشید .
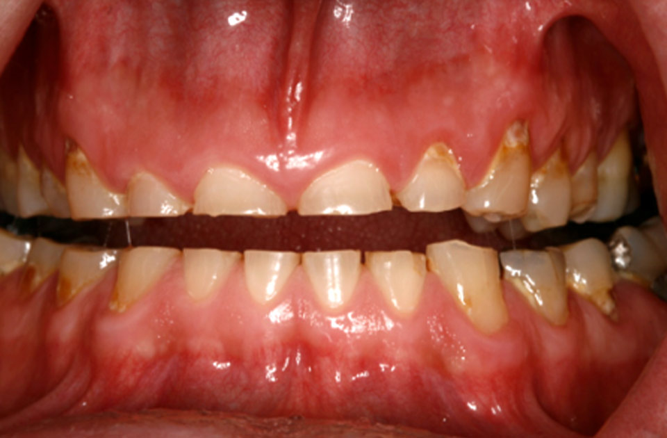
شاید شما هم جزو افرادی باشید که از کوتاه بودن دندان خود و فرسایش آن ها به یکدیگر احساس ناخوشایندی نداشته باشید معمولا دندان قروچه یا سایش دندان ها روی یکدیگر در خواب اتفاق می افتد و بدون اینکه فرد مورد نظر متوجه باشد دندان های آن دچار سایش هایی می شود اما امروز درباره علائمی با شما صحبت خواهیم کرد که متوجه بشوید دندان قروچه در خواب چه علائمی دارد و آیا می توان آن را درمان کرد یا خیر .
قبل از هر چیزی بهتر است بدانیم که دندان قروچه چیست و بعد به دنبال علائم آن باشیم .
شاید این مطلب برای شما مفید باشد : علت تلخی دهان چیست ؟
دندان قروچه چیست ؟

شاید تا به حال این نام را کم شنیده باشید اما دندان قروچه به معنی سایش دندان ها و فشردن فک بر روی هم می باشد که اغلب در خواب این اتفاق برای افراد می افتد و بر اساس پاسخ طبیعی به استرس و ناامیدی این اتفاق ممکن است رخ بدهد . به دلیل اینکه دندان قروچه در خواب رخ می دهد بسیاری از افراد از این اتفاق بی اطلاع هستند که در ادامه به علائم دندان قروچه در خواب می پردازیم
علائم دندان قروچه در خواب
علائمی که در زیر به آن اشاره می کنیم علائمی هستند که افرادی که دچار دندان قروچه هستند ممکن است با آن روبه رو شوند :
· ایجاد سردرد
· درد در صورت و گوش
· اختلالات خوابیدن
· درد عضلات در فک
· قفل کردن عضلات فک
· دندان های لق و دردناک
· سرو صدا ناشی از برخورد دندان ها
· شکستگی یا لب پر شدن دندان ها بدون دلیل
این علائم از علائمی هستند که شما را از دندان قروچه آگاه می سازد .
علت دندان قروچه چه می باشد ؟

از علت های اصلی دندان قروچه می توان عواملی که در زیر بیان می شود فهمید که علت دندان قروچه چیست :
· مهم ترین و اصلی ترین علت آن را می توان استرس و اضطراب دانست
· اختلالات خواب و مشکلات خوابیدن یکی دیگر از علت ها می باشد .
· قرار نگرفتن صحیح دندان ها روی هم
· مصرف دخانیات مانند سیگار و الکل و..
به طور کلی و خلاصه عواملی که در بالا به آن ها اشاره شد علت های دندان قروچه می باشند .
دندان قروچه در کودکان
شاید شما هم در خانواده خود آشنایان خود متوجه شده باشید که فرزند شما یا دیگران دچار این عارضه یعنی دندان قروچه شده است و سوالی که اینجا برای ما پیش می اید این است که چرا دندان قروچه در کودکان شایع تر می باشد ؟
برای پاسخ به این سوال باید بگوییم که کودکان تا قبل از رسیدن سن 3 سالگی به دلیل رشد دندان های شیری بیشت از بزرگسالان با مشکل دندان قروچه یا سایش دندان ها روبه رو می شوند که این عارضه معمولا با بالا رفتن سن کودکان برطرف می شود .
اغلب کودکان بر خلاف بزرگسالان که علت دندان قروچه آن ها از استرس و اضطراب می باشد در کودکان اغلب این اتفاق در خواب برای کودکان می افتد و عوامل ناشی از این اتفاق عبارتند از :
· آلرژی
· وراثت
· تحریک دهان
· نامرتب بودن دندان های شیری کودکان
· مشکل تنفسی در کودکان
چطور از شر دندان قروچه خلاص شویم ؟ ( راه های درمان )
قطعا عارضه دندان قروچه می تواند نگران کننده باشد زیرا به دندان های شما آسیب های جدی وارد می کند. در این بخش راه های درمان دندان قروچه را به شما توضیح داده ایم :
1 از محافظ دهان ( نایت گارد ) استفاده کنید

شما با مراجعه به متخصص ارتودنسی دندان در جهت درمان دندان قروچه می توانید از محافظ دهان یا نایت گارد استفاده کنید محافظ دهان این امکان را فراهم می کند تا از برخورد دندان ها با یکدیگر جلوگیری شود و هر چه زود تر از شر این عارضه خلاص شوید .
2 استفاده از کمپرس گرم
اگر ناخودآگاه دندان های خود را روی هم فشار می دهید یک کمپرس گرم می تواند گردش خون را بهتر و ماهیچه ها را شل کند دراز بکشید و یک طرف صورت خود را روی یک پد گرمکن قرار دهید . کمپرس گرم را به مدت 15 دقیقه اعمال کنید و سپس آن را در طرف دیگر تکرار کنید .
3 تراز کردن سطوح دندان یا جراحی کرونوپلاستی
اگر که علت دندان قروچه شما سطوح دندانی ناهموار باشد این روش موثر می باشد زمانی که سطوح دندان ها یکسان هستند وسوسه شما برای ساییدن دندان ها نیز کمتر می باشد .
دندانپزشک شما می تواند تشخیص بدهد که ایا این روش برای شما مناسب است یا خیر .
4 کاهش مصرف کافئین را داشته باشید .
قهوه و چای از نوشیدنی هایی هستند که مورد علاقه اکثر ایرانی ها هست با این حال هر شب بسیار از ایرانیان دچار دندان قروچه می شوند و این دندان قروچه می تواند ناشی از مصرف کافئین و نخوابیدن باشد بنابر این باید در این شرایط مصرف کافئین را بسیار کاهش دهید تا خوابی راحت وسبک داشته باشید و از بروز عارضه دندان قروچه جلوگیری کنید .
5 اضطراب و استرس را مدیریت کنید .
بسیاری از افراد هستند که به دلیل اضطراب و استرس دندان های خود را به هم می فشارند باید این افراد بتوانند آرامش خود را تقویت کنند و مدیتیشن انجام دهند تا از این مشکل جلوگیری کنند .
بهتر است اضطراب خود را با صحبت کردن با یک درمانگر و مشاوره درست درمان و مدیریت کنید .
6 استفاده از شیر زردچوبه
همانطور که قبلا هم به این موضوع اشاره کرده ایم گرفتگی عضلات فک و دهان می تواند باعث بروز بیماری دندان قروچه شود که در این شرایز از زرد چوبه در جهت کاهش التهاب ، اسپاسم و گرفتگی عضلات فک و دهان استفاده می شود این گیاه خاصیتی گرم دارد و برای این درمان موثر است .
سخن پایانی
کلینیک دندانپزشکی شبانه روزی آرتین ارائه دهنده بهترین خدمات درمانی ، زیبایی دندانپزشکی در کرج می باشد که تمامی خدمات دندانپزشکی از جمله : عصب کشی دندان ، کامپوزیت دندان ، ایمپلنت دندان ، ارتودنسی دندان و ... را به صورت کاملا حرفه ای با کادر و پزشکان حرفه ای انجام می دهد .
جهت دریافت نوبت می توانید از طریق شماره تلفن های زیر نوبت خود را ثبت کنید .
02632211497
02632211496

0 نظر